|
cardiac MRI Anonymous |
18 year
|
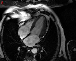
cardiac mri is some thing which can save many lives but the software available to analyse them are too costly...
i was wondering if robo realm can help out there..
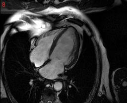
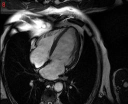
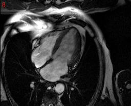
the pictures show a few cardiac MRI data.. is there any way we can crop out hust the heart ,
itried a few thresholding scheles but, they dont seem to work very well
any help will be appreciated



|
|
|
Anonymous |
18 year
|
Hi,
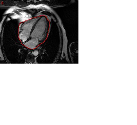
Could you help us by manually specifying which area is the heart? As we are not that experienced with internal organs what seems obvious to you may not be to us. If you could mark up one or two of your images by outlining the area of the heart we can try a couple filters to see if something does the job.
Thanks,
STeven.
|
|
|
details Anonymous |
18 year
|
hey, the basic idea is to track the outer walls of the heart (the out line in red)
this video might give you a bettr idea
http://www.youtube.com/watch?v=UDqvg26jK9s
now as you can see this shows from a lot of views now we are more concerned with following the outer muscle of any one particular sequence.
i will leave the exact sequence for you too choose(any one sequence will do).
now cardiac motion tracking is sold as S/W by loads oc companies but they cost a ton.
a cheaper way to track the cardiac motion will be welcome.
thnks
|
|